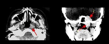
哪项不符合腺样囊性癌的肿瘤(如组图)生物学行为()A.常出现神经症状B.血行转移率高C.区域淋巴结转移率高D.肿瘤易沿神经生长...

作者: rantiku 人气: - 评论: 0
问题 哪项不符合腺样囊性癌的肿瘤(如组图)生物学行为()
选项 A.常出现神经症状 B.血行转移率高 C.区域淋巴结转移率高 D.肿瘤易沿神经生长 E.侵袭性极强
答案 C
解析

猜你喜欢

发表评论
更多 网友评论0 条评论)
暂无评论

访问排行

Copyright © 2012-2014 恰考网 Inc. 保留所有权利。 Powered by tikuer.com

页面耗时0.0430秒, 内存占用1.03 MB, Cache:redis,访问数据库19次