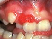
组图是牙龈瘤患者,有关此病的描述不正确的是()A.生长较慢B.肿块较局限C.可能导致牙松动D.为恶性病变E.可破坏牙槽骨壁

作者: rantiku 人气: - 评论: 0
问题 组图是牙龈瘤患者,有关此病的描述不正确的是()
选项 A.生长较慢 B.肿块较局限 C.可能导致牙松动 D.为恶性病变 E.可破坏牙槽骨壁
答案 D
解析

猜你喜欢

发表评论
更多 网友评论0 条评论)
暂无评论

访问排行

Copyright © 2012-2014 恰考网 Inc. 保留所有权利。 Powered by tikuer.com

页面耗时0.0333秒, 内存占用1.03 MB, Cache:redis,访问数据库20次