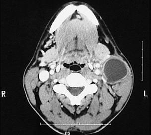
图示是鳃裂囊肿患者的CT?检查结果,关于此病的描述错误的是()A.无自觉症状B.大小不定,生长缓慢C.可继发感染D.触之有搏动感E.可形成瘘

作者: rantiku 人气: - 评论: 0
问题 图示是鳃裂囊肿患者的CT?检查结果,关于此病的描述错误的是()
选项 A.无自觉症状 B.大小不定,生长缓慢 C.可继发感染 D.触之有搏动感 E.可形成瘘
答案 D
解析

猜你喜欢

发表评论
更多 网友评论0 条评论)
暂无评论

访问排行

Copyright © 2012-2014 恰考网 Inc. 保留所有权利。 Powered by tikuer.com

页面耗时0.0370秒, 内存占用1.03 MB, Cache:redis,访问数据库19次