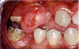
组图为口内纤维瘤的外观,关于此病的描述不正确的是()A.主要由纤维组织构成B.生长一般较缓慢C.肿瘤边界清楚D.手术后不易复发...

作者: rantiku 人气: - 评论: 0
问题 组图为口内纤维瘤的外观,关于此病的描述不正确的是()
选项 A.主要由纤维组织构成 B.生长一般较缓慢 C.肿瘤边界清楚 D.手术后不易复发 E.有可能恶变
答案 D
解析

猜你喜欢

发表评论
更多 网友评论0 条评论)
暂无评论

访问排行

Copyright © 2012-2014 恰考网 Inc. 保留所有权利。 Powered by tikuer.com

页面耗时0.0380秒, 内存占用1.03 MB, Cache:redis,访问数据库14次