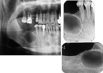
发现下前牙变色,唇侧牙龈一肿物一月余,经X?线检查,结果如图。最可能的诊断是()A.根尖囊肿B.牙龈瘤C.根尖脓肿D.成釉细胞瘤E.牙骨质瘤

作者: rantiku 人气: - 评论: 0
问题 发现下前牙变色,唇侧牙龈一肿物一月余,经X?线检查,结果如图。最可能的诊断是()
选项 A.根尖囊肿 B.牙龈瘤 C.根尖脓肿 D.成釉细胞瘤 E.牙骨质瘤
答案 A
解析

猜你喜欢

发表评论
更多 网友评论0 条评论)
暂无评论

访问排行

Copyright © 2012-2014 恰考网 Inc. 保留所有权利。 Powered by tikuer.com

页面耗时0.0374秒, 内存占用1.03 MB, Cache:redis,访问数据库15次