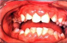
患者,男性,19岁,主诉:前牙牙龈红肿肥大1年余。临床检查:上唇短,上前牙唇侧牙龈边缘及龈乳头增生肥大,覆盖牙冠的1/3,质地较韧。最可能的诊断是 ( ...

作者: tihaiku 人气: - 评论: 0
问题 患者,男性,19岁,主诉:前牙牙龈红肿肥大1年余。临床检查:上唇短,上前牙唇侧牙龈边缘及龈乳头增生肥大,覆盖牙冠的1/3,质地较韧。最可能的诊断是 ( )
选项 A.增生性龈炎 B.牙龈纤维瘤病 C.青春期龈炎 D.慢性龈缘炎 E.急性坏死性溃疡性龈炎
答案 A
解析

相关内容:患者,男性,前牙,牙龈,红肿,1年余,临床,检查,上唇,牙唇,边缘,乳头,增生,牙冠,质地,较韧,可能,诊断

猜你喜欢

发表评论
更多 网友评论0 条评论)
暂无评论

访问排行

Copyright © 2012-2014 恰考网 Inc. 保留所有权利。 Powered by tikuer.com

页面耗时0.0372秒, 内存占用1.04 MB, Cache:redis,访问数据库19次