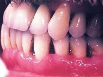
水平型食物嵌塞的原因 ( ) A.邻牙触点丧失 B.牙龈萎缩 C.相邻牙边缘嵴不在同一水平面 D.充填物悬突 E.充填式牙尖

作者: tihaiku 人气: - 评论: 0
问题 水平型食物嵌塞的原因 ( )
选项 A.邻牙触点丧失 B.牙龈萎缩 C.相邻牙边缘嵴不在同一水平面 D.充填物悬突 E.充填式牙尖
答案 B
解析

相关内容:水平型,食物,嵌塞,原因,邻牙,触点,牙龈,边缘,水平面,悬突,式牙

猜你喜欢

发表评论
更多 网友评论0 条评论)
暂无评论

访问排行

Copyright © 2012-2014 恰考网 Inc. 保留所有权利。 Powered by tikuer.com

页面耗时0.0374秒, 内存占用1.04 MB, Cache:redis,访问数据库20次