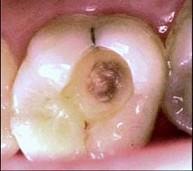
患者女性,20岁。因左侧后牙进食时嵌塞食物疼痛就诊。检查:左上6面龋洞,探洞底敏感,叩(-),冷刺激入洞后疼痛,去除刺激立即消失,热测同对照牙。该牙诊断可...

作者: tihaiku 人气: - 评论: 0
问题 患者女性,20岁。因左侧后牙进食时嵌塞食物疼痛就诊。检查:左上6面龋洞,探洞底敏感,叩(-),冷刺激入洞后疼痛,去除刺激立即消失,热测同对照牙。该牙诊断可能为 ( )
选项 A.浅龋 B.中龋 C.深龋 D.急性牙髓炎 E.慢性牙髓炎
答案 C
解析

相关内容:患者,女性,进食,时嵌,食物,疼痛,检查,面龋,探洞,热测,对照,该牙,诊断

猜你喜欢

发表评论
更多 网友评论0 条评论)
暂无评论

访问排行

Copyright © 2012-2014 恰考网 Inc. 保留所有权利。 Powered by tikuer.com

页面耗时0.0347秒, 内存占用1.04 MB, Cache:redis,访问数据库15次