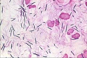
急性溃疡性坏死性龈炎的主要致病菌为 ( ) A.白色念珠菌 B.变形链珠菌 C.金黄色葡萄球菌 D.梭形菌及螺旋体 E.溶血性链球菌

作者: tihaiku 人气: - 评论: 0
问题 急性溃疡性坏死性龈炎的主要致病菌为 ( )
选项 A.白色念珠菌 B.变形链珠菌 C.金黄色葡萄球菌 D.梭形菌及螺旋体 E.溶血性链球菌
答案 D
解析

猜你喜欢

发表评论
更多 网友评论0 条评论)
暂无评论

访问排行

Copyright © 2012-2014 恰考网 Inc. 保留所有权利。 Powered by tikuer.com

页面耗时0.0402秒, 内存占用1.03 MB, Cache:redis,访问数据库19次