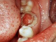
慢性增生性牙髓炎的特点是息肉 ( ) A.与牙髓相连 B.与牙周膜相连 C.与牙槽骨相连 D.充满整个龋洞 E.与牙龈相连

作者: tihaiku 人气: - 评论: 0
问题 慢性增生性牙髓炎的特点是息肉 ( )
选项 A.与牙髓相连 B.与牙周膜相连 C.与牙槽骨相连 D.充满整个龋洞 E.与牙龈相连
答案 A
解析

相关内容:生性,牙髓,特点,息肉,牙周,牙槽,龋洞,牙龈

猜你喜欢

发表评论
更多 网友评论0 条评论)
暂无评论

访问排行

Copyright © 2012-2014 恰考网 Inc. 保留所有权利。 Powered by tikuer.com

页面耗时0.0524秒, 内存占用1.03 MB, Cache:redis,访问数据库13次