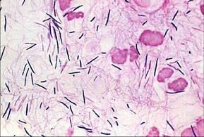
急性溃疡性坏死性龈炎的主要致病菌为 ( )
A.白色念珠菌
B.变形链珠菌
C.金黄色葡萄球菌
D.梭形菌及螺旋体
E.溶血性链球菌
相关内容:急性,溃疡性,性龈,致病菌,白色,念珠,链珠,金黄色,葡萄球菌,梭形,螺旋体,血性,链球菌
猜你喜欢
- 患者,女性,48岁,8月初由外地来京探亲,因“发热、头痛5天,神志不清2天”于9月18日入院,经查后确诊为流行性乙型脑炎。
2.列血常规检查结果,符合...
- 结构中不含有酚羟基,易通过血脑屏障,会产生较强中枢兴奋副作用的肾上腺素能药物是A、肾上腺素
B、重酒石酸间羟酸
C、沙丁胺醇
D、沙美特罗
E、盐...
- 填方路基在碾压时应先轻后重,最后碾压机械应为不小于()级的压路机。A、6t B、8t C、10t D、12t
- 下列可以成为保险标的的是( )。A.财产
B.财产的有关利益
C.人的寿命
D.人的身体
E.人的情感
- A. a1=(1,1,1,0)T,a2=(-1,-1,1,0)TB. a1=(2,1,0,1)T,a2=(-1,-1,1,0)TC. a1=(...
- A.温下寒,兼清上热而驱蛔B.健脾气,清热而驱蛔C.温中寒,扶助中阳而驱蛔D.消食积,燥湿清肝而驱蛔E.健脾胃,攻补兼施而驱蛔乌梅丸治...
- 关于气象条件对大气污染状态影响的叙述,下列哪一项是错误的A.风向能反映出污染源周围受影响的方位,瞬时间污染以排污当时的下风侧地区受影响最大
B.湍流强有...
- 组织代谢活动增强时,毛细血管床因代谢产物堆积而开放,这种调节属于A.神经调节
B.激素远距调节
C.神经-体液调节
D.局部体液调节
- 女性,57岁,左鼻翼发现皮肤病损18个月,面积逐渐增大,反复出现破溃。就诊时检查:病损位于左鼻翼,约1cm×1cm,略高出皮肤,中央表浅溃疡,有薄层黑褐色...
- 估计时间最准确的是( )。
(A) 视觉 (B) 听觉
(C) 触觉 (D) 嗅觉