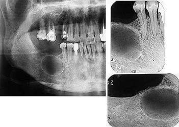
发现下前牙变色,唇侧牙龈一肿物一月余,经X 线检查,结果如图。最可能的诊断是 ( ) A.根尖囊肿 B.成釉细胞瘤 C.牙龈瘤 D.根尖脓...

作者: tihaiku 人气: - 评论: 0
问题 发现下前牙变色,唇侧牙龈一肿物一月余,经X 线检查,结果如图。最可能的诊断是 ( )
选项 A.根尖囊肿 B.成釉细胞瘤 C.牙龈瘤 D.根尖脓肿 E.牙骨质瘤
答案 A
解析

相关内容:现下,前牙,变色,唇侧,牙龈,肿物,月余,检查,结果,如图,可能,诊断,囊肿,成釉,细胞

猜你喜欢

发表评论
更多 网友评论0 条评论)
暂无评论

访问排行

Copyright © 2012-2014 恰考网 Inc. 保留所有权利。 Powered by tikuer.com

页面耗时0.0416秒, 内存占用1.04 MB, Cache:redis,访问数据库19次