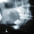
某患者一侧下颌磨牙区、下颌角及升支部渐进性膨大,按之有乒乓球感。X线片(如图)示多房性密度减低影,分房大小相差悬珠,分隔清晰锐利、阴影边缘呈切迹状,阴影内...

作者: tihaiku 人气: - 评论: 0
问题 某患者一侧下颌磨牙区、下颌角及升支部渐进性膨大,按之有乒乓球感。X线片(如图)示多房性密度减低影,分房大小相差悬珠,分隔清晰锐利、阴影边缘呈切迹状,阴影内牙根尖有不规则吸收。该病最可能的诊断是 ( )
选项 A.颌骨血管瘤 B.成骨肉瘤 C.牙源性纤维瘤 D.牙源性角化囊肿 E.成釉细胞瘤
答案 E
解析

相关内容:患者,一侧,下颌,磨牙区,支部,渐进性,按之,球感,线片,如图,示多房,密度,分房,大小,悬珠,阴影,边缘,呈切,迹状

猜你喜欢

发表评论
更多 网友评论0 条评论)
暂无评论

访问排行

Copyright © 2012-2014 恰考网 Inc. 保留所有权利。 Powered by tikuer.com

页面耗时0.0390秒, 内存占用1.05 MB, Cache:redis,访问数据库20次