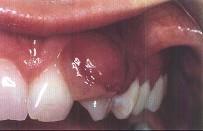
妊娠瘤的临床表现是 ( )A.多发生于多个牙的牙间乳头B.以下前牙区唇面龈乳头多见C.生长慢,质地坚韧D.疼痛明显E.妊娠期不能手术切...

作者: rantiku 人气: - 评论: 0
问题 妊娠瘤的临床表现是 ( )
选项 A.多发生于多个牙的牙间乳头 B.以下前牙区唇面龈乳头多见 C.生长慢,质地坚韧 D.疼痛明显 E.妊娠期不能手术切除妊娠瘤
答案 B
解析

猜你喜欢

发表评论
更多 网友评论0 条评论)
暂无评论

访问排行

Copyright © 2012-2014 恰考网 Inc. 保留所有权利。 Powered by tikuer.com

页面耗时0.0738秒, 内存占用1.03 MB, Cache:redis,访问数据库20次