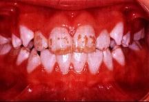
关于氟斑牙的临床表现下列哪项不正确 ( )A.同一时期萌出的釉质上有黄白相间斑块B.重者并有釉质缺损C.多见于乳牙和恒牙D.对酸蚀的抵抗力...

作者: rantiku 人气: - 评论: 0
问题 关于氟斑牙的临床表现下列哪项不正确 ( )
选项 A.同一时期萌出的釉质上有黄白相间斑块 B.重者并有釉质缺损 C.多见于乳牙和恒牙 D.对酸蚀的抵抗力强 E.对摩擦的耐受性差
答案 C
解析

猜你喜欢

发表评论
更多 网友评论0 条评论)
暂无评论

访问排行

Copyright © 2012-2014 恰考网 Inc. 保留所有权利。 Powered by tikuer.com

页面耗时0.0338秒, 内存占用1.03 MB, Cache:redis,访问数据库20次