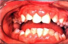
患者,男性,19岁,主诉:前牙牙龈红肿肥大1年余。临床检查:上唇短,上前牙唇侧牙龈边缘及龈乳头增生肥大,覆盖牙冠的1/3,质地较韧。最可能的诊断是 ( )...

作者: rantiku 人气: - 评论: 0
问题 患者,男性,19岁,主诉:前牙牙龈红肿肥大1年余。临床检查:上唇短,上前牙唇侧牙龈边缘及龈乳头增生肥大,覆盖牙冠的1/3,质地较韧。最可能的诊断是 ( )
选项 A.青春期龈炎 B.急性坏死性溃疡性龈炎 C.慢性龈缘炎 D.增生性龈炎 E.牙龈纤维瘤病
答案 D
解析

猜你喜欢

发表评论
更多 网友评论0 条评论)
暂无评论

访问排行

Copyright © 2012-2014 恰考网 Inc. 保留所有权利。 Powered by tikuer.com

页面耗时0.0647秒, 内存占用1.03 MB, Cache:redis,访问数据库20次