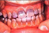
关于四环素牙,下列哪—项错误()A.四环素可通过胎盘引起乳牙着色B.四环素对牙的影响仅仅是着色,影响美观C.通常前牙比后牙着色深D.四环素...

作者: rantiku 人气: - 评论: 0
问题 关于四环素牙,下列哪—项错误()
选项 A.四环素可通过胎盘引起乳牙着色 B.四环素对牙的影响仅仅是着色,影响美观 C.通常前牙比后牙着色深 D.四环素在牙本质中的沉积比在釉质中高4倍 E.四环素牙的着色是永久的
答案 B
解析

猜你喜欢

发表评论
更多 网友评论0 条评论)
暂无评论

访问排行

Copyright © 2012-2014 恰考网 Inc. 保留所有权利。 Powered by tikuer.com

页面耗时0.0437秒, 内存占用1.03 MB, Cache:redis,访问数据库15次