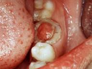
慢性增生性牙髓炎的特点是息肉()A.充满整个龋洞B.与牙髓相连C.与牙龈相连D.与牙周膜相连E.与牙槽骨相连

作者: rantiku 人气: - 评论: 0
问题 慢性增生性牙髓炎的特点是息肉()
选项 A.充满整个龋洞 B.与牙髓相连 C.与牙龈相连 D.与牙周膜相连 E.与牙槽骨相连
答案 B
解析

猜你喜欢

发表评论
更多 网友评论0 条评论)
暂无评论

访问排行

Copyright © 2012-2014 恰考网 Inc. 保留所有权利。 Powered by tikuer.com

页面耗时0.0376秒, 内存占用1.03 MB, Cache:redis,访问数据库20次