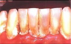
龈上牙石易沉积于()A.上前牙邻面B.双尖牙C.磨牙D.上后牙颊面和下前牙舌面E.舌面和上前牙唇面

作者: rantiku 人气: - 评论: 0
问题 龈上牙石易沉积于()
选项 A.上前牙邻面 B.双尖牙 C.磨牙 D.上后牙颊面和下前牙舌面 E.舌面和上前牙唇面
答案 D
解析

猜你喜欢

发表评论
更多 网友评论0 条评论)
暂无评论

访问排行

Copyright © 2012-2014 恰考网 Inc. 保留所有权利。 Powered by tikuer.com

页面耗时0.0489秒, 内存占用1.02 MB, Cache:redis,访问数据库13次