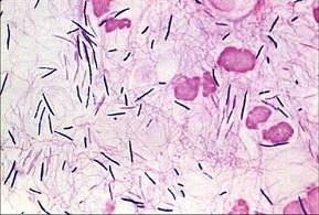
急性溃疡性坏死性龈炎的主要致病菌为()A.溶血性链球菌B.白色念珠菌C.变形链珠菌D.金黄色葡萄球菌E.梭形菌及螺旋体

作者: rantiku 人气: - 评论: 0
问题 急性溃疡性坏死性龈炎的主要致病菌为()
选项 A.溶血性链球菌 B.白色念珠菌 C.变形链珠菌 D.金黄色葡萄球菌 E.梭形菌及螺旋体
答案 E
解析

猜你喜欢

发表评论
更多 网友评论0 条评论)
暂无评论

访问排行

Copyright © 2012-2014 恰考网 Inc. 保留所有权利。 Powered by tikuer.com

页面耗时0.0522秒, 内存占用1.03 MB, Cache:redis,访问数据库19次