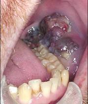
男性患者,50岁,发现口内粘膜黑色肿物两年,近期生长迅速,且破溃,出血,伴疼痛,有颌下淋巴肿大。外观如图示。最可能的诊断为 ( ) A.恶性黑色...

作者: tihaiku 人气: - 评论: 0
问题 男性患者,50岁,发现口内粘膜黑色肿物两年,近期生长迅速,且破溃,出血,伴疼痛,有颌下淋巴肿大。外观如图示。最可能的诊断为 ( )
选项 A.恶性黑色素瘤 B.舌下腺囊肿 C.海绵状血管瘤 D.颊粘膜癌 E.复发性溃疡
答案 A
解析

相关内容:男性,患者,粘膜,黑色,肿物,近期,疼痛,颌下,淋巴,肿大,外观,可能,诊断

猜你喜欢

发表评论
更多 网友评论0 条评论)
暂无评论

访问排行

Copyright © 2012-2014 恰考网 Inc. 保留所有权利。 Powered by tikuer.com

页面耗时0.0401秒, 内存占用1.05 MB, Cache:redis,访问数据库19次