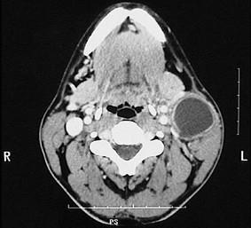
40岁女性,右上颈部包块发现5年,增长不明显。近3天发生上呼吸道感染,肿物突然增大,伴疼痛。检查见肿物位于胸锁乳突肌上1/3前缘,质软,有波动感,无搏动,...

作者: tihaiku 人气: - 评论: 0
问题 40岁女性,右上颈部包块发现5年,增长不明显。近3天发生上呼吸道感染,肿物突然增大,伴疼痛。检查见肿物位于胸锁乳突肌上1/3前缘,质软,有波动感,无搏动,体位试验阴性。CT 检查如图。最可能的诊断是 ( )
选项 A.海绵状血管瘤 B.囊性水瘤 C.鳃裂囊肿 D.神经鞘瘤 E.甲状舌管囊肿
答案 C
解析

相关内容:女性,颈部,包块,增长,呼吸道,肿物,疼痛,检查,胸锁,乳突,前缘,质软,动感,搏动

猜你喜欢

发表评论
更多 网友评论0 条评论)
暂无评论

访问排行

Copyright © 2012-2014 恰考网 Inc. 保留所有权利。 Powered by tikuer.com

页面耗时0.0464秒, 内存占用1.05 MB, Cache:redis,访问数据库20次