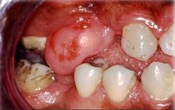
组图为口内纤维瘤的外观,关于此病的描述不正确的是 ( ) A.生长一般较缓慢 B.手术后不易复发 C.主要由纤维组织构成 D.有可...

作者: tihaiku 人气: - 评论: 0
问题 组图为口内纤维瘤的外观,关于此病的描述不正确的是 ( )
选项 A.生长一般较缓慢 B.手术后不易复发 C.主要由纤维组织构成 D.有可能恶变 E.肿瘤边界清楚
答案 B
解析

相关内容:纤维瘤,外观,纤维,组织,构成

猜你喜欢

发表评论
更多 网友评论0 条评论)
暂无评论

访问排行

Copyright © 2012-2014 恰考网 Inc. 保留所有权利。 Powered by tikuer.com

页面耗时0.0345秒, 内存占用1.04 MB, Cache:redis,访问数据库20次