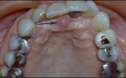
切牙乳突是排列上中切牙的解剖标志、是因为 ( )A.切牙乳突的位置变化较小B.切牙乳突位于上颌腭中缝的前端C.切牙乳突下方为切牙孔、排牙时...

作者: rantiku 人气: - 评论: 0
问题 切牙乳突是排列上中切牙的解剖标志、是因为 ( )
选项 A.切牙乳突的位置变化较小 B.切牙乳突位于上颌腭中缝的前端 C.切牙乳突下方为切牙孔、排牙时要防止此处压迫 D.切牙乳突与上颌中切牙之间有较稳定的关系 E.两个上中切牙的交界线应以切牙乳实为准
答案 D
解析

猜你喜欢

发表评论
更多 网友评论0 条评论)
暂无评论

访问排行

Copyright © 2012-2014 恰考网 Inc. 保留所有权利。 Powered by tikuer.com

页面耗时0.0928秒, 内存占用1.03 MB, Cache:redis,访问数据库20次