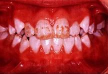
关于氟斑牙的临床表现下列哪项不正确 ( ) A.多见于乳牙和恒牙 B.同一时期萌出的釉质上有黄白相间斑块 C.重者并有釉质缺损 D.对酸蚀...

作者: tihaiku 人气: - 评论: 0
问题 关于氟斑牙的临床表现下列哪项不正确 ( )
选项 A.多见于乳牙和恒牙 B.同一时期萌出的釉质上有黄白相间斑块 C.重者并有釉质缺损 D.对酸蚀的抵抗力强 E.对摩擦的耐受性差
答案 A
解析

相关内容:氟斑,临床表现,乳牙,恒牙,一时期,萌出,釉质,黄白,斑块,重者,并有,酸蚀

猜你喜欢

发表评论
更多 网友评论0 条评论)
暂无评论

访问排行

Copyright © 2012-2014 恰考网 Inc. 保留所有权利。 Powered by tikuer.com

页面耗时0.0325秒, 内存占用1.04 MB, Cache:redis,访问数据库16次