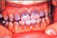
关于四环素牙,下列哪—项错误 ( ) A.四环素牙的着色是永久的 B.四环素在牙本质中的沉积比在釉质中高4倍 C.四环素可通过胎盘引起乳牙着...

作者: tihaiku 人气: - 评论: 0
问题 关于四环素牙,下列哪—项错误 ( )
选项 A.四环素牙的着色是永久的 B.四环素在牙本质中的沉积比在釉质中高4倍 C.四环素可通过胎盘引起乳牙着色 D.四环素对牙的影响仅仅是着色,影响美观 E.通常前牙比后牙着色深
答案 D
解析

相关内容:四环素,错误,着色,本质,沉积,釉质,胎盘,乳牙

猜你喜欢

发表评论
更多 网友评论0 条评论)
暂无评论

访问排行

Copyright © 2012-2014 恰考网 Inc. 保留所有权利。 Powered by tikuer.com

页面耗时0.0413秒, 内存占用1.04 MB, Cache:redis,访问数据库20次