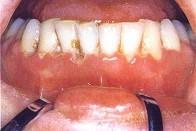
慢性溃疡性坏死性龈炎的主要表现 ( ) A.牙龈水肿 B.游离龈消失 C.附着龈增生 D.牙间乳头消失 E.牙龈增生

作者: tihaiku 人气: - 评论: 0
问题 慢性溃疡性坏死性龈炎的主要表现 ( )
选项 A.牙龈水肿 B.游离龈消失 C.附着龈增生 D.牙间乳头消失 E.牙龈增生
答案 D
解析

相关内容:溃疡性,性龈,牙龈,水肿,增生,牙间,乳头

猜你喜欢

发表评论
更多 网友评论0 条评论)
暂无评论

访问排行

Copyright © 2012-2014 恰考网 Inc. 保留所有权利。 Powered by tikuer.com

页面耗时0.0356秒, 内存占用1.04 MB, Cache:redis,访问数据库19次