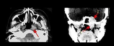
哪项不符合腺样囊性癌的肿瘤(如组图)生物学行为 ( ) A.肿瘤易沿神经生长 B.区域淋巴结转移率高 C.侵袭性极强 D.血行转移...

作者: tihaiku 人气: - 评论: 0
问题 哪项不符合腺样囊性癌的肿瘤(如组图)生物学行为 ( )
选项 A.肿瘤易沿神经生长 B.区域淋巴结转移率高 C.侵袭性极强 D.血行转移率高 E.常出现神经症状
答案 B
解析

相关内容:腺样,囊性,肿瘤,组图,生物学,行为,易沿,神经,区域,淋巴结,转移率,侵袭

猜你喜欢

发表评论
更多 网友评论0 条评论)
暂无评论

访问排行

Copyright © 2012-2014 恰考网 Inc. 保留所有权利。 Powered by tikuer.com

页面耗时0.0379秒, 内存占用1.04 MB, Cache:redis,访问数据库19次