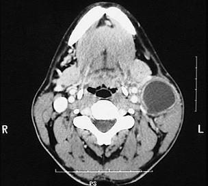
图示是鳃裂囊肿患者的CT 检查结果,关于此病的描述错误的是 ( ) A.可形成瘘 B.可继发感染 C.大小不定,生长缓慢 D.无自觉症状 ...

作者: tihaiku 人气: - 评论: 0
问题 图示是鳃裂囊肿患者的CT 检查结果,关于此病的描述错误的是 ( )
选项 A.可形成瘘 B.可继发感染 C.大小不定,生长缓慢 D.无自觉症状 E.触之有搏动感
答案 E
解析

相关内容:鳃裂,囊肿,患者,检查,结果,错误,继发,大小,症状

猜你喜欢

发表评论
更多 网友评论0 条评论)
暂无评论

访问排行

Copyright © 2012-2014 恰考网 Inc. 保留所有权利。 Powered by tikuer.com

页面耗时0.0363秒, 内存占用1.04 MB, Cache:redis,访问数据库17次