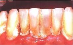
龈上牙石易沉积于 ( ) A.上后牙颊面和下前牙舌面 B.舌面和上前牙唇面 C.双尖牙 D.磨牙 E.上前牙邻面

作者: tihaiku 人气: - 评论: 0
问题 龈上牙石易沉积于 ( )
选项 A.上后牙颊面和下前牙舌面 B.舌面和上前牙唇面 C.双尖牙 D.磨牙 E.上前牙邻面
答案 A
解析

相关内容:牙石,易沉积,沉积,下前,牙唇,尖牙,磨牙,牙邻

猜你喜欢

发表评论
更多 网友评论0 条评论)
暂无评论

访问排行

Copyright © 2012-2014 恰考网 Inc. 保留所有权利。 Powered by tikuer.com

页面耗时0.0304秒, 内存占用1.04 MB, Cache:redis,访问数据库19次