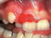
组图是牙龈瘤患者,有关此病的描述不正确的是 ( ) A.可能导致牙松动 B.可破坏牙槽骨壁 C.肿块较局限 D.生长较慢 E...

作者: tihaiku 人气: - 评论: 0
问题 组图是牙龈瘤患者,有关此病的描述不正确的是 ( )
选项 A.可能导致牙松动 B.可破坏牙槽骨壁 C.肿块较局限 D.生长较慢 E.为恶性病变
答案 E
解析

相关内容:组图,牙龈,患者,有关,可能,牙槽,骨壁,肿块

猜你喜欢

发表评论
更多 网友评论0 条评论)
暂无评论

访问排行

Copyright © 2012-2014 恰考网 Inc. 保留所有权利。 Powered by tikuer.com

页面耗时0.0363秒, 内存占用1.05 MB, Cache:redis,访问数据库19次