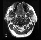
女性,55岁。右耳垂下无痛性肿块逐渐缓慢长大6年。触诊肿块界线清楚,活动,约4cm×5cm大小,表面呈结节状,中等硬度,与皮肤无黏连。CT 检查结果如图,...

作者: tihaiku 人气: - 评论: 0
问题 女性,55岁。右耳垂下无痛性肿块逐渐缓慢长大6年。触诊肿块界线清楚,活动,约4cm×5cm大小,表面呈结节状,中等硬度,与皮肤无黏连。
选项 CT 检查结果如图,该病最可能的诊断是 ( ) A.皮脂腺囊肿 B.腮腺腺淋巴瘤 C.腮腺多形性腺瘤 D.耳下淋巴结转移癌 E.慢性淋巴结炎
答案 C
解析

相关内容:女性,右耳,肿块,长大,触诊,界线,活动,大小,结节,硬度,皮肤,无黏连,检查,结果,如图

猜你喜欢

发表评论
更多 网友评论0 条评论)
暂无评论

访问排行

Copyright © 2012-2014 恰考网 Inc. 保留所有权利。 Powered by tikuer.com

页面耗时0.0393秒, 内存占用1.05 MB, Cache:redis,访问数据库20次