男,52岁。清晨锻炼时觉头痛、左侧肢体麻木和乏力。有高血压病史。半天后到急诊就诊。查体:嗜睡,右侧肢体肌力3级,腱反射高于左侧,右侧Babinski征阳性...

作者: tihaiku 人气: - 评论: 0
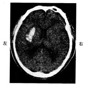
问题 男,52岁。清晨锻炼时觉头痛、左侧肢体麻木和乏力。有高血压病史。半天后到急诊就诊。查体:嗜睡,右侧肢体肌力3级,腱反射高于左侧,右侧Babinski征阳性。脑CT见图示:

患者可能诊断为
选项 A:脑血栓形成 B:高血压性脑出血 C:短暂性脑缺血发作 D:脑栓塞 E:脑转移癌
答案 B
解析 本题考查目的是综合临床资料、CT图像作出脑血管病的诊断。本病例为急性起病的脑血管病。脑血管病分为缺血性卒中和出血性卒中。脑血栓形成、短暂性脑缺血发作、脑栓塞均为缺血性卒中范畴。高血压性脑出血为出血性卒中。根据脑缺血性卒中和出血性卒中的鉴别诊断表(表1-2),可以得出正确答案为B。脑转移癌起病较慢,而且CT的病灶周围有大片水肿,为迷惑答案。

相关内容:锻炼,时觉,肢体,高血压,病史,天后,急诊,肌力,反射,Babinski,阳性

猜你喜欢

发表评论
更多 网友评论0 条评论)
暂无评论

访问排行

Copyright © 2012-2014 恰考网 Inc. 保留所有权利。 Powered by tikuer.com

页面耗时0.0950秒, 内存占用1.05 MB, Cache:redis,访问数据库20次