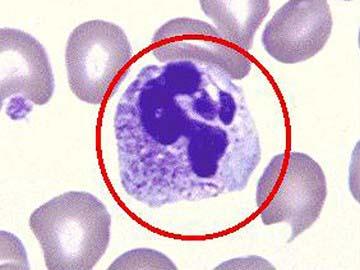
图所示细胞形态异常改变是 ( )A、Alder-Reillyl畸形B、杜勒小体C、Peger-Huet畸形D、空泡E、中毒颗粒

作者: rantiku 人气: - 评论: 0
问题 图所示细胞形态异常改变是 ( )
选项 A、Alder-Reillyl畸形 B、杜勒小体 C、Peger-Huet畸形 D、空泡 E、中毒颗粒
答案 E
解析

猜你喜欢

发表评论
更多 网友评论0 条评论)
暂无评论

访问排行

Copyright © 2012-2014 恰考网 Inc. 保留所有权利。 Powered by tikuer.com

页面耗时0.0309秒, 内存占用1.03 MB, Cache:redis,访问数据库16次