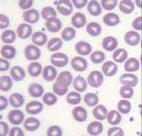
图所示红细胞属哪一种形态异常 ( )A、口形红细胞B、靶形红细胞C、裂红细胞D、棘形红细胞E、泪滴形红细胞

作者: rantiku 人气: - 评论: 0
问题 图所示红细胞属哪一种形态异常 ( )
选项 A、口形红细胞 B、靶形红细胞 C、裂红细胞 D、棘形红细胞 E、泪滴形红细胞
答案 A
解析

猜你喜欢

发表评论
更多 网友评论0 条评论)
暂无评论

访问排行

Copyright © 2012-2014 恰考网 Inc. 保留所有权利。 Powered by tikuer.com

页面耗时0.0339秒, 内存占用1.03 MB, Cache:redis,访问数据库18次