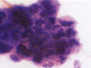
图所示细胞最可能为 ( )A、正常鳞状上皮细胞B、正常腺上皮细胞C、未分化癌D、分化较好的腺癌E、分化较好的鳞癌

作者: rantiku 人气: - 评论: 0
问题 图所示细胞最可能为 ( )
选项 A、正常鳞状上皮细胞 B、正常腺上皮细胞 C、未分化癌 D、分化较好的腺癌 E、分化较好的鳞癌
答案 C
解析

猜你喜欢

发表评论
更多 网友评论0 条评论)
暂无评论

访问排行

Copyright © 2012-2014 恰考网 Inc. 保留所有权利。 Powered by tikuer.com

页面耗时0.0296秒, 内存占用1.03 MB, Cache:redis,访问数据库19次