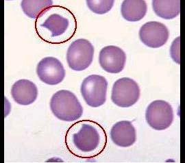
图中所示的异常红细胞可能提示 ( )A、红细胞增多症B、遗传性球形红细胞增多症C、再障D、PNHE、G-6-PD缺乏症

作者: rantiku 人气: - 评论: 0
问题 图中所示的异常红细胞可能提示 ( )
选项 A、红细胞增多症 B、遗传性球形红细胞增多症 C、再障 D、PNH E、G-6-PD缺乏症
答案 E
解析

猜你喜欢

发表评论
更多 网友评论0 条评论)
暂无评论

访问排行

Copyright © 2012-2014 恰考网 Inc. 保留所有权利。 Powered by tikuer.com

页面耗时0.0309秒, 内存占用1.03 MB, Cache:redis,访问数据库19次