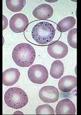
图中所示红细胞异常结构为 ( )A、疟原虫B、网织红细胞C、杜勒小体D、嗜碱性点彩红细胞E、H-J小体

作者: rantiku 人气: - 评论: 0
问题 图中所示红细胞异常结构为 ( )
选项 A、疟原虫 B、网织红细胞 C、杜勒小体 D、嗜碱性点彩红细胞 E、H-J小体
答案 D
解析

猜你喜欢

发表评论
更多 网友评论0 条评论)
暂无评论

访问排行

Copyright © 2012-2014 恰考网 Inc. 保留所有权利。 Powered by tikuer.com

页面耗时0.0286秒, 内存占用1.03 MB, Cache:redis,访问数据库18次