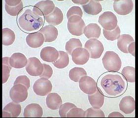
如图,圈中所示红细胞中的异常结构为 ( )A、网织红细胞B、疟原虫C、嗜碱性点彩红细胞D、H-J小体E、卡波环

作者: rantiku 人气: - 评论: 0
问题 如图,圈中所示红细胞中的异常结构为 ( )
选项 A、网织红细胞 B、疟原虫 C、嗜碱性点彩红细胞 D、H-J小体 E、卡波环
答案 B
解析

猜你喜欢

发表评论
更多 网友评论0 条评论)
暂无评论

访问排行

Copyright © 2012-2014 恰考网 Inc. 保留所有权利。 Powered by tikuer.com

页面耗时0.0318秒, 内存占用1.03 MB, Cache:redis,访问数据库18次