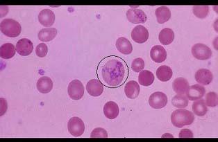
如图,若圈中所示红细胞为12%,可排除哪种贫血 ( )A、G-6-PD酶缺乏症B、海洋性贫血C、再生障碍性贫血D、遗传性球形红细胞增多症 ...

作者: rantiku 人气: - 评论: 0
问题 如图,若圈中所示红细胞为12%,可排除哪种贫血 ( )
选项 A、G-6-PD酶缺乏症 B、海洋性贫血 C、再生障碍性贫血 D、遗传性球形红细胞增多症 E、不稳定血红蛋白病
答案 C
解析

猜你喜欢

发表评论
更多 网友评论0 条评论)
暂无评论

访问排行

Copyright © 2012-2014 恰考网 Inc. 保留所有权利。 Powered by tikuer.com

页面耗时0.0479秒, 内存占用1.03 MB, Cache:redis,访问数据库20次