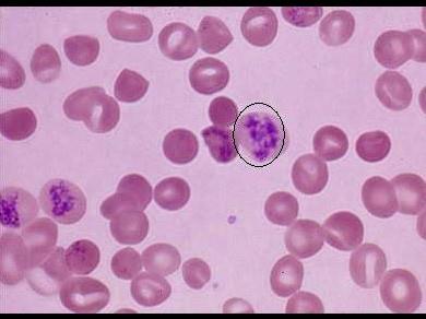
如图,若外周血圈中所示红细胞增多,最常见于 ( )A、骨髓病性贫血B、再生障碍性贫血C、缺铁性贫血D、溶血性贫血E、白血病

作者: rantiku 人气: - 评论: 0
问题 如图,若外周血圈中所示红细胞增多,最常见于 ( )
选项 A、骨髓病性贫血 B、再生障碍性贫血 C、缺铁性贫血 D、溶血性贫血 E、白血病
答案 D
解析

猜你喜欢

发表评论
更多 网友评论0 条评论)
暂无评论

访问排行

Copyright © 2012-2014 恰考网 Inc. 保留所有权利。 Powered by tikuer.com

页面耗时0.0298秒, 内存占用1.03 MB, Cache:redis,访问数据库19次