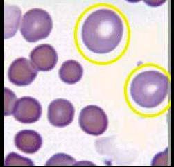
如图,若在血涂片中发现圈中所示红细胞增多则表示骨髓造血功能 ( )A、低下B、重度低下C、正常D、恶性变E、旺盛

作者: rantiku 人气: - 评论: 0
问题 如图,若在血涂片中发现圈中所示红细胞增多则表示骨髓造血功能 ( )
选项 A、低下 B、重度低下 C、正常 D、恶性变 E、旺盛
答案 E
解析

猜你喜欢

发表评论
更多 网友评论0 条评论)
暂无评论

访问排行

Copyright © 2012-2014 恰考网 Inc. 保留所有权利。 Powered by tikuer.com

页面耗时0.0293秒, 内存占用1.03 MB, Cache:redis,访问数据库18次