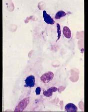
该图所示可能为哪种疾病的骨髓象 ( )A、再生障碍性贫血B、HbS病C、缺铁性贫血D、巨幼细胞贫血E、地中海贫血

作者: rantiku 人气: - 评论: 0
问题 该图所示可能为哪种疾病的骨髓象 ( )
选项 A、再生障碍性贫血 B、HbS病 C、缺铁性贫血 D、巨幼细胞贫血 E、地中海贫血
答案 A
解析

猜你喜欢

发表评论
更多 网友评论0 条评论)
暂无评论

访问排行

Copyright © 2012-2014 恰考网 Inc. 保留所有权利。 Powered by tikuer.com

页面耗时0.0376秒, 内存占用1.03 MB, Cache:redis,访问数据库20次