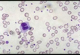
某女,长期月经过多,血片如图,为进一步明确诊断,需进行下列何种检查 ( )A、Coombs试验B、Hb电泳检测C、Ham试验D、铁代谢检查...

作者: rantiku 人气: - 评论: 0
问题 某女,长期月经过多,血片如图,为进一步明确诊断,需进行下列何种检查 ( )
选项 A、Coombs试验 B、Hb电泳检测 C、Ham试验 D、铁代谢检查 E、维生素B测定
答案 D
解析

猜你喜欢

发表评论
更多 网友评论0 条评论)
暂无评论

访问排行

Copyright © 2012-2014 恰考网 Inc. 保留所有权利。 Powered by tikuer.com

页面耗时0.0285秒, 内存占用1.03 MB, Cache:redis,访问数据库17次