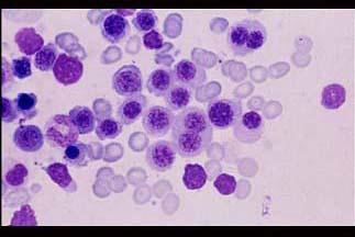
某患者自幼贫血,脾肿大。外周血涂片如图1,骨髓涂片如图2,该患者可能为 ( )A、再障B、HbS病C、地中海贫血D、巨幼细胞贫血E...

作者: rantiku 人气: - 评论: 0
问题 某患者自幼贫血,脾肿大。外周血涂片如图1,骨髓涂片如图2,该患者可能为 ( )
选项 A、再障 B、HbS病 C、地中海贫血 D、巨幼细胞贫血 E、缺铁性贫血
答案 C
解析

猜你喜欢

发表评论
更多 网友评论0 条评论)
暂无评论

访问排行

Copyright © 2012-2014 恰考网 Inc. 保留所有权利。 Powered by tikuer.com

页面耗时0.0296秒, 内存占用1.03 MB, Cache:redis,访问数据库19次