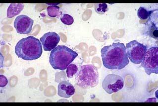
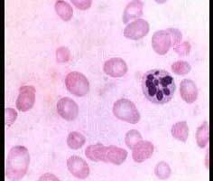
某患者外周血涂片如图1,骨髓涂片如图2,该患者最可能为哪种疾病 ( )A、自身免疫性溶血性贫血B、珠蛋白生成障碍性贫血C、缺铁性贫血D...

作者: rantiku 人气: - 评论: 0
问题 某患者外周血涂片如图1,骨髓涂片如图2,该患者最可能为哪种疾病 ( )
选项 A、自身免疫性溶血性贫血 B、珠蛋白生成障碍性贫血 C、缺铁性贫血 D、巨幼细胞性贫血 E、PNH
答案 D
解析

猜你喜欢

发表评论
更多 网友评论0 条评论)
暂无评论

访问排行

Copyright © 2012-2014 恰考网 Inc. 保留所有权利。 Powered by tikuer.com

页面耗时0.0315秒, 内存占用1.03 MB, Cache:redis,访问数据库18次