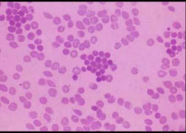
某家族性遗传病患者血涂片如图,红细胞渗透脆性增加,下述哪项不符合其病情。 ( )A、尿胆原阳性B、网织红细胞明显增高C、红细胞在脾窦被破坏...

作者: rantiku 人气: - 评论: 0
问题 某家族性遗传病患者血涂片如图,红细胞渗透脆性增加,下述哪项不符合其病情。 ( )
选项 A、尿胆原阳性 B、网织红细胞明显增高 C、红细胞在脾窦被破坏 D、血红蛋白电泳出现异常区带 E、脾肿大
答案 D
解析

猜你喜欢

发表评论
更多 网友评论0 条评论)
暂无评论

访问排行

Copyright © 2012-2014 恰考网 Inc. 保留所有权利。 Powered by tikuer.com

页面耗时0.0315秒, 内存占用1.03 MB, Cache:redis,访问数据库18次