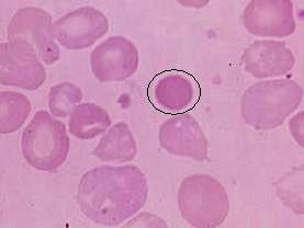
某患者贫血、脾肿大。如图,若外周血圈中所示红细胞占19%,最可能为 ( )A、先天性球形红细胞增多症B、失血性贫血C、巨幼细胞性贫血D、再...

作者: rantiku 人气: - 评论: 0
问题 某患者贫血、脾肿大。如图,若外周血圈中所示红细胞占19%,最可能为 ( )
选项 A、先天性球形红细胞增多症 B、失血性贫血 C、巨幼细胞性贫血 D、再生障碍性贫血 E、缺铁性贫血
答案 A
解析

猜你喜欢

发表评论
更多 网友评论0 条评论)
暂无评论

访问排行

Copyright © 2012-2014 恰考网 Inc. 保留所有权利。 Powered by tikuer.com

页面耗时0.0384秒, 内存占用1.03 MB, Cache:redis,访问数据库17次