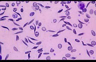
外周血涂片如图,该患者可能为下列何种疾病 ( )A、再障B、HbS病C、遗传性球形红细胞增多症D、缺铁性贫血E、口形红细胞增多症

作者: rantiku 人气: - 评论: 0
问题 外周血涂片如图,该患者可能为下列何种疾病 ( )
选项 A、再障 B、HbS病 C、遗传性球形红细胞增多症 D、缺铁性贫血 E、口形红细胞增多症
答案 B
解析

猜你喜欢

发表评论
更多 网友评论0 条评论)
暂无评论

访问排行

Copyright © 2012-2014 恰考网 Inc. 保留所有权利。 Powered by tikuer.com

页面耗时0.0281秒, 内存占用1.03 MB, Cache:redis,访问数据库17次