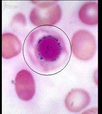
如图为某患者骨髓铁染色结果。下列说法正确的是 ( )A、铁粒幼细胞贫血中环形铁粒幼红细胞占20%以上B、MDS患者也可见环形铁粒幼红细胞C、细...

作者: rantiku 人气: - 评论: 0
问题 如图为某患者骨髓铁染色结果。下列说法正确的是 ( )
选项 A、铁粒幼细胞贫血中环形铁粒幼红细胞占20%以上 B、MDS患者也可见环形铁粒幼红细胞 C、细胞内铁是指存在于中幼红细胞、晚幼红细胞及成熟红细胞中的铁 D、细胞外铁主要存在于骨髓小粒的巨噬细胞中 E、圈中所示为环形铁粒幼红细胞
答案 BCDE
解析

猜你喜欢

发表评论
更多 网友评论0 条评论)
暂无评论

访问排行

Copyright © 2012-2014 恰考网 Inc. 保留所有权利。 Powered by tikuer.com

页面耗时0.0311秒, 内存占用1.03 MB, Cache:redis,访问数据库19次